Interventie neurochirurgicala cu indicatia Maximum Safe Resection. La SANADOR – Exemplar si Excelent
Din echipa condusa de prof. dr. Alexandru Vlad Ciurea au facut parte dr. Dan Bentia, medic primar cu experienta de top in Vest, si dr. Adrian Enache, medic specialist destoinic.
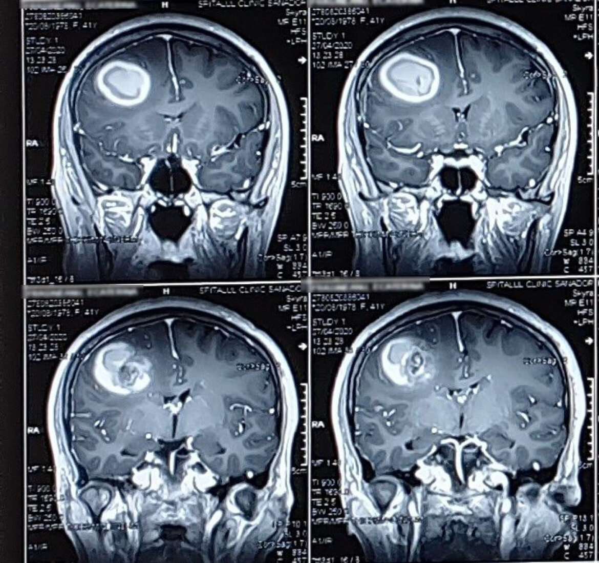
„Am fost foarte incantata de bunele practici, de amabilitatea personalului sanitar si de profesionalismul echipei de medici neurochirugi, condusa de reputatul profesor univ. dr. ALEXANDRU VLAD CIUREA, in cazul operatiei de cavernom frontal voluminos, cu hematom, realizata microchirurgical si ghidata de neuronavigatie craniana, la sfarsitul lunii aprilie 2020. Operatia a fost realizata cu succes, a fost confortabila pentru mine si apartinatorul meu, din toate punctele de vedere si, dupa 5 zile de la aceasta, am putut sa fiu iarasi eu, cea care fusesem inainte, un om vesel, optimist, independent in controlul motricitatii, 100% activa/apta din punct de vedere intelectual.
Inaintea operatiei mi s-au facut cu multa promptitudine toate analizele necesare, iar grija fata de igiena, precum si existenta unor proceduri transparente, comunicate in scris, mi-au dat siguranta necesara pentru a intelege ce se intampla si a avea un moral bun, ca pacient, in fata unei probleme de sanatate urgente, in contextul pandemiei de Covid-19.

Nu am stiut daca voi putea sa ii multumesc indeajuns domnului dr. Ciurea si personalului intalnit, dar constat ca beneficiez in continuare de acest prilej, prin deschiderea Domniei sale la comunicare de la distanta (telefonica) si prin preocuparea zilnica pentru starea mea de sanatate, demonstrate cu consecventa, postexternare.” - Ecaterina F., 42 ani, Craiova